AIIMS doctors remove 2-inch-long metal spring from 14-month-old Image: IANS
News

AIIMS doctors save 14-month-old with large metal spring lodged in food pipe

The child, a resident of Yamunanagar in Haryana, was brought to the paediatric emergency ward on Tuesday morning with a history of recurrent vomiting for nearly a week and markedly reduced oral intake over the preceding two days.

PTI

New Delhi: In a major life-saving intervention, doctors at AIIMS, Delhi rescued a 14-month-old girl after discovering a large metal spring dangerously stuck in her food pipe, an incident that underscores how small household objects can pose life-threatening risks to infants.

The child, a resident of Yamunanagar in Haryana, was brought to the paediatric emergency ward on Tuesday morning with a history of recurrent vomiting for nearly a week and markedly reduced oral intake over the preceding two days.

Crucially, there was no history provided by the parents of any foreign body ingestion, a common and dangerous scenario in very young children who are unable to communicate what they may have swallowed, Dr Vishesh Jain, professor in the Department of Paediatric Surgery said.

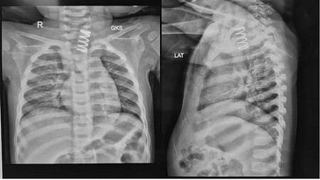
"An X-ray examination revealed a shocking finding -- a large metallic spring was lodged in the upper part of the oesophagus," Dr Jain said.

Initial endoscopic attempts at removal at a private hospital revealed that the object was severely impacted, with significant ulceration and swelling of the surrounding oesophagal lining, he said.

Given the high risk of perforation, the metallic spring's removal was deemed unsafe and the child was referred urgently to AIIMS for advanced care.

At AIIMS, the pediatric gastroenterology team reassessed the child, but in view of extensive mucosal injury and oedema, further attempts at removal were deferred, and the case was transferred to the pediatric surgery unit under Dr Jain.

Despite extensive experience in managing foreign body ingestions, the treating team recognised this as a particularly high-risk case.

The size, shape and prolonged impaction of the spring meant there was a real possibility of oesophagal perforation and the need for emergency open surgery, Dr Jain said.

The parents were counselled in detail about all possible outcomes and the team prepared for every eventuality before taking the child to the operating theatre.

Anaesthesia for the procedure was led by Dr Parin Lalwani, associate professor in the Department of Anaesthesia, ensuring meticulous peri-operative monitoring in this fragile patient.

In the operating room, endoscopy confirmed that the spring had partially embedded itself into the oesophagal wall, with ulcerations extending along the mucosa.

Using advanced endoscopic techniques, the surgical team carefully grasped the spring and, through gentle rotational movements, slowly disimpacted and removed it without causing further injury.

A check endoscopy performed immediately afterwards confirmed that there was no perforation of the oesophagus, bringing immense relief to both the medical team and the family.

The child showed rapid improvement and was started on oral feeds the very next day. She is now being planned for discharge in a stable condition.

Dr Jain emphasised that the successful outcome was the result of close teamwork between pediatric surgery, gastroenterology, anaesthesia, nursing staff and emergency services.

"The case serves as a powerful reminder to parents and care-givers that small objects such as springs, coins, batteries and toy parts should always be kept out of reach of young children. In infants and toddlers, foreign body ingestion may go completely unnoticed, and symptoms such as unexplained vomiting, refusal to feed or drooling should prompt immediate medical evaluation," Dr Jain said.

What appeared to be an ordinary week of vomiting turned out to be a silent, potentially fatal threat -- one that was averted through timely referral, expert care and coordinated teamwork at AIIMS, he said.

This report was published from a syndicated wire feed. Apart from the headline, the EdexLive Desk has not edited the copy.

Bengaluru: BTech student allegedly falls to death from university hostel building; police launch probe

FIR lodged against unidentified man for making 'obscene' gestures in JNU

UGC launches 'SheRNI' to ensure women scientist representation

Father of Kota student who killed self suspects foul play, demands fair probe

Gorakhpur NCC Academy will inspire youth to contribute to nation-building: UP CM Adityanath